Kristen Woods

Supporting Mental Health Challenges and Disabilities

Neuroimaging


Structural and Functional Imaging Techniques: Looking at the brain.


Computed Tomography (CT) scans 

Structural Technique


[Picture]
Computed Tomography (CT)
Focused x-rays.
Used for detecting lesions and tumors, as well as other structural differences, all of which can be contributors to mental illness.
[Picture]
CT scan- labeled.

Electroencephalogram (EEG) Recordings 

Functional Technique

[Picture]
Electroencephalogram (EEG).
Recording electrical activity from the scalp.
Excellent temporal resolution.
Terrible spatial resolution.
Primarily used to diagnose sleep and seizure-related disorders.

EEG in Healthy Sleep 

[Picture]
EEG - healthy sleep stages.

EEG in Healthy and Epileptic Participants 

[Picture]
EEG - normal vs seizure disorders.

Positron Emission Tomography (PET) imaging 

Structural and Functional Technique

[Picture]
Positron Emission Tomography (PET) scans in the progression of Alzheimer's disease.
Subject injected with radioactive isotopes of H2O, or glucose.
Excellent spatial and temporal resolution.
PET scans offer an exciting opportunity to trace the pathways of a drug in a subject, which may be useful in determining the right medication with specific functional deficiencies.
[Picture]
How PET scans came to be.

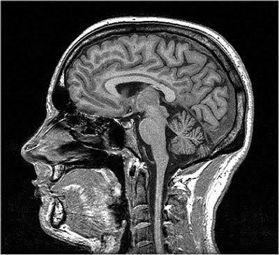
Magnetic Resonance Imaging (MRI) scans 

Structural Technique

[Picture]
Magnetic Resonance Imaging (MRI).
Takes advantage of the magnetic properties of hydrogen, specifically protons in the hydrogen atom.
Used for structural images of the brain.
Excellent spatial resolution.
MRIs can help measure gray matter volume, thickness, and shape, and abnormalities have been documented with some of the most common mental health disorders like depression, ADHD, and anxiety.

Functional Magnetic Resonance Imaging (fMRI) 

Functional Technique

[Picture]
fMRI showing drastic changes between depressed and healthy individuals.
Measures BOLD (Blood Oxygen Level Dependent) MRI.
BOLD is a haemodynamic correlate of brain activity.
Very good spatial resolution.
Many confounds to the data (e.g. subject motion, cardiac pulse).
Nonetheless, fMRIs can shed light on functional brain networks that underlie psychiatric illness, as well as their response to treatment.

Single Photon Emission Computed Tomography (SPECT) imaging 

Structural and Functional Technique

[Picture]
Single Photon Emission Computed Tomography (SPECT) imaging.
Nuclear medicine approach that reliably evaluates blood flow and activity in the brain.
SPECT can be used to diagnose and assess neuropsychiatric inflictions underlying mental health conditions such as toxicity and brain inflammation hypoperfusion in the brain.
[Picture]
SPECT capturing distinct types of ADHD (why imaging tools are important).